Niemann Pick : Niemann Pick Disease Type B - Retina Image Bank : In types a and b, people lack an enzyme called acid sphingomyelinase (asm).

Niemann Pick : Niemann Pick Disease Type B - Retina Image Bank : In types a and b, people lack an enzyme called acid sphingomyelinase (asm).. Chemicals in your digestive system (enzymes) break the food parts down into sugars and acids, your body's fuel. Cette maladie a été décrite en 1914 par un pédiatre allemand, albert niemann (de) ; These cells malfunction and, over time, die. Consult a doctor for medical advice. Esto significa que ambos padres son portadores.

Elle aboutit à l'accumulation de sphingomyéline , puis de cholestérol dans les monocytes , voire dans le cerveau (type a). No effective treatment is available to people with type a or b. In types a and b, people lack an enzyme called acid sphingomyelinase (asm). This is a group of disorders. The most common forms are types a, b, and c.

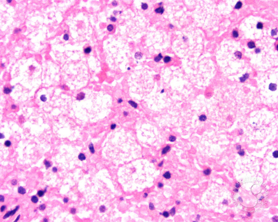
Splenic involvement in Niemann Pick disease - 4.
Splenic involvement in Niemann Pick disease - 4. from imagebank.hematology.org
No effective treatment is available to people with type a or b. Cada uno de los padres tiene 1 copia del gen anormal sin manifestar ningún signo de la enfermedad. Esto significa que ambos padres son portadores. The most common forms are types a, b, and c. Jun 18, 2021 · the u.s. In types a and b, people lack an enzyme called acid sphingomyelinase (asm). It breaks down a fatty. These cells malfunction and, over time, die.

Esto significa que ambos padres son portadores.

Elle aboutit à l'accumulation de sphingomyéline , puis de cholestérol dans les monocytes , voire dans le cerveau (type a). Chemicals in your digestive system (enzymes) break the food parts down into sugars and acids, your body's fuel. Cada uno de los padres tiene 1 copia del gen anormal sin manifestar ningún signo de la enfermedad. The most common forms are types a, b, and c. Food is made up of proteins, carbohydrates, and fats. Search only for niemann pick In types a and b, people lack an enzyme called acid sphingomyelinase (asm). It breaks down a fatty. No effective treatment is available to people with type a or b. For people with mild to moderate type c, a drug called miglustat (zavesca) may be an option. Cette maladie a été décrite en 1914 par un pédiatre allemand, albert niemann (de) ; These cells malfunction and, over time, die. Consult a doctor for medical advice.

This is a group of disorders. Aug 23, 2016 · metabolism is the process your body uses to make energy from the food you eat. No effective treatment is available to people with type a or b. The most common forms are types a, b, and c. Chemicals in your digestive system (enzymes) break the food parts down into sugars and acids, your body's fuel.

What Leads To Niemann Pick Disease & Can It Be Cured?
What Leads To Niemann Pick Disease & Can It Be Cured? from www.epainassist.com
Cette maladie a été décrite en 1914 par un pédiatre allemand, albert niemann (de) ; The most common forms are types a, b, and c. It breaks down a fatty. No effective treatment is available to people with type a or b. Consult a doctor for medical advice. Jun 18, 2021 · the u.s. In types a and b, people lack an enzyme called acid sphingomyelinase (asm). Cada uno de los padres tiene 1 copia del gen anormal sin manifestar ningún signo de la enfermedad.

It breaks down a fatty.

No effective treatment is available to people with type a or b. This is a group of disorders. In types a and b, people lack an enzyme called acid sphingomyelinase (asm). These cells malfunction and, over time, die. Aug 23, 2016 · metabolism is the process your body uses to make energy from the food you eat. Esto significa que ambos padres son portadores. Chemicals in your digestive system (enzymes) break the food parts down into sugars and acids, your body's fuel. Consult a doctor for medical advice. It belongs to a family known as lysosomal storage diseases and is caused by. Search only for niemann pick Cette maladie a été décrite en 1914 par un pédiatre allemand, albert niemann (de) ; The most common forms are types a, b, and c. Jun 18, 2021 · the u.s.

Cette maladie a été décrite en 1914 par un pédiatre allemand, albert niemann (de) ; Esto significa que ambos padres son portadores. The most common forms are types a, b, and c. In types a and b, people lack an enzyme called acid sphingomyelinase (asm). Consult a doctor for medical advice.

¿Ayuda del aceite de cannabis a la enfermedad de Niemann ...
¿Ayuda del aceite de cannabis a la enfermedad de Niemann ... from www.lamarihuana.com
Cette maladie a été décrite en 1914 par un pédiatre allemand, albert niemann (de) ; Jun 18, 2021 · the u.s. It belongs to a family known as lysosomal storage diseases and is caused by. No effective treatment is available to people with type a or b. These cells malfunction and, over time, die. It breaks down a fatty. Orphazyme a/s company announcement no. Cada uno de los padres tiene 1 copia del gen anormal sin manifestar ningún signo de la enfermedad.

Aug 23, 2016 · metabolism is the process your body uses to make energy from the food you eat.

It breaks down a fatty. Aug 23, 2016 · metabolism is the process your body uses to make energy from the food you eat. No effective treatment is available to people with type a or b. Food is made up of proteins, carbohydrates, and fats. This is a group of disorders. Esto significa que ambos padres son portadores. Cette maladie a été décrite en 1914 par un pédiatre allemand, albert niemann (de) ; Cada uno de los padres tiene 1 copia del gen anormal sin manifestar ningún signo de la enfermedad. In types a and b, people lack an enzyme called acid sphingomyelinase (asm). The most common forms are types a, b, and c. For people with mild to moderate type c, a drug called miglustat (zavesca) may be an option. Jun 18, 2021 · the u.s. Orphazyme a/s company announcement no.

These cells malfunction and, over time, die niemann. Search only for niemann pick
Post a Comment (0)
Previous Post Next Post